Especialista en periodoncia
e implantes dentales
en Ensenada
Tratamientos para enfermedades de encías
El Dr. Rubén Héctor Chanes Ortiz es un cirujano dentista especialista en periodoncia e implantes dentales ubicado en Ensenada, Baja California.
Con más de 35 años de experiencia es miembro de la Asociación Dental Mexicana (ADM) y está certificado por el Consejo Mexicano de Periodoncia. Su amplia trayectoria en el ramo le ha permitido especializarse en una gran variedad de tratamientos para enfermedades de encías para dar bienestar y tranquilidad a sus pacientes.
El CPID (Centro de Periodoncia e Implantes Dentales) es dirigido por el Dr. Rubén Héctor Chanes Ortiz y es un centro que se especializa en el tratamiento de las enfermedades de encías. Asimismo, se enfoca en la regeneración de los tejidos que rodean a los dientes, como el hueso alveolar y las encías; y se realizan colocaciones quirúrgicas de implantes dentales.
Para el especialista en implantes dentales y periodoncia es fundamental utilizar equipo con tecnología de punta para llevar a cabo el diagnóstico de los problemas que presentan los pacientes, de esta manera se puede realizar un plan de tratamiento preciso y adecuado, enfocado a devolver su salud.

Tratamientos de regeneración de hueso y encía
Ofrecemos tratamientos para la regeneración de hueso y encía en aquellos problemas que son causados por enfermedades en las encías. Los avances tecnológicos en el campo de la odontología nos han ayudado a remplazar dientes por medio de implantes dentales sin afectar dientes vecinos, y sin el uso de molestos ganchos o barras en paladar.
En el consultorio del Dr. Rubén Héctor Chanes Ortiz se emplean tratamientos adecuados para rehabilitar una boca con pérdida parcial o total de dientes, mediante la colocación quirúrgica de implantes dentales con regeneración de tejidos que los rodean. En los resultados nos dan una apariencia natural y estética.
Título de diapositiva
Escriba el subtítulo aquíBotón
Título de diapositiva
Escriba el subtítulo aquíBotón
Título de diapositiva
Escriba el subtítulo aquíBotón
Título de diapositiva
Escriba el subtítulo aquíBotón
Constante actualización en las mejores técnicas y tratamientos dentales
Ten la seguridad que en el consultorio del Dr. Rubén Héctor Chanes Ortiz encontrarás tratamientos más innovadores y eficientes con tecnología de punta para lograr mejores resultados, El Dr. Chanes se mantiene en constante actualización para aplicar nuevas técnicas y tecnología en el tratamiento de encías, regeneración de tejidos y en implantes dentales.
Especialista en periodoncia e implantes dentales
Servicios dentales especializados
1
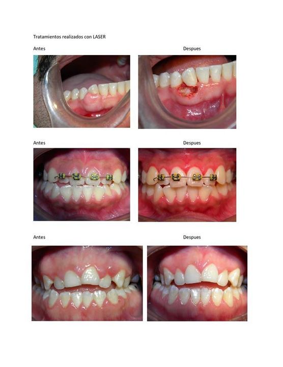
- Tratamiento de encías con rayo láser
- Regeneración de encías
- Atención a sangrado de encías
- Tratamiento para el control de apretamiento y desgaste de dientes
2
- Atención a problemas de encías
- Gingivitis
- Cirugía cosmética de las encías
- Regeneración de hueso alveolar
3
- Aplicación de rayo láser terapéutico
- Tratamiento de articulación mandibular
- Colocación quirúrgica de implantes dentales
Contacta al especialista en periodoncia e implantes dentales
Contact Us
Gracias por contactarnos.
Nos pondremos en contacto con usted tan pronto como sea posible
Ups, hubo un error al enviar tu mensaje.
Por favor, inténtelo de nuevo más tarde

